診察日記
手術を受けようか迷っているけど、病院に何回行かなきゃいけないの?
そんな疑問をお持ちの飼い主様に向け、今回は手術の前後の通院のお話を。
通院① : 手術の前の検査
当院では手術の前には必ず血液検査を行い、安全性を検討しています。
せっかく安全だという事を確認できても、手術の日まであまりにも日が経ってしまうと信頼できるデータではなくなってしまいます。
また、当日の方がデータの信頼性は高いのですが、検査の結果によっては日程を延期して頂く事もあります。
「心配だけど、この子の健康のためだ!」と覚悟を決め、手術のために一生懸命スケジュールをやりくりしたのに・・・と、ならないように
血液検査は手術予定日の1週間~前日に受けていただくのがお勧めです。
ちなみに、もし混合ワクチンを1年以上打っていないようであれば、手術予定日の2週間前に打っておくことをお勧めしています。
血液検査前は出来れば6時間は何も食べていない方がより正確な結果が得られます。
(もし食べている場合は上昇する項目もありますので、受付で教えて下さいね。)
何も問題がなければ、採血からご説明まではおよそ30分くらいで終わります。
通院② : 手術当日
当日は朝9:30までにご来院頂きます。ちなみに手術を受ける患者さんは絶飲絶食(=何か飲んだり食べたりしていない)です。
手術をする時間はお昼頃からです。
「お昼からの手術なら、なぜそんなに早く連れて行かなきゃならないの??」って思いませんか?
実は手術直前までにいろんなケアが必要なのです。当日どんな事をしているかの話もまたいずれ書く予定…
通院③ : お迎え
当院では避妊手術は1泊入院・去勢手術は当日のお返しです。
お迎えの際は手術後の様子やお家での注意点をお伝えします。
通院④ : 傷口のチェック
手術のあと問題なく回復しているか、傷口は綺麗に治ってきているかなどをチェックします。
前回術後の痛みやエリザベスカラーが嫌で凹んでいても、ほとんどの子がこの時には元気になっています。
この日のチェックで問題がなければ飲み薬もおしまいになります。
通院⑤ : 抜糸
いよいよ抜糸!! これが終わったらエリザベスカラーをはずしても安心です!
手術によっては抜糸を数回の通院に分けることもありますが、避妊・去勢手術の場合は殆どが1回で終わります。
焦って抜糸を急ぐよりは数日遅らせた方が絶対に良いので、
もし抜糸予定日に飼い主様のご都合がつかないような時は抜糸を早めにするのではなく遅らせて頂いた方が良いと思います。
検査やチェックの結果で多少変わってきますが、こんな感じで、避妊・去勢手術の場合は前後併せて5回の事がほとんどです。
他にも心配な事やご不安な事はなんでも聞いて下さい。
なるべく安心してお任せいただけるように、一生懸命お答えします。
当院では年間多くの避妊手術、去勢手術をさせて頂いております。どんな手術でもそうですが、術前にしっかりとご説明をしてなるべく安心して頂けるようにしています。
今回は避妊手術でどこを切るのか、というお話です。
現在、当院では卵巣・子宮両方を取り除く手術をしています。手術時間(切り始め~縫い終わり)は通常30分前後です。
避妊手術ではお腹の皮膚と筋肉を切開して卵巣と子宮を取り除きます。
(卵巣だけを取り除く術式もあるんだけど、私は両方取るほうが好き。)
この写真を見て「えっ!!じゃあ結構長く切るってこと!?」って思われましたか?
ご安心ください。避妊手術ならば(内蔵脂肪が沢山ついている子とか、何らかのリスクが高くて超短時間で手術する必要がある子以外は)こんなに上から下まで切らなくても大丈夫です。
おへその下を数cm切るだけです。
手術中にお腹の中に毛が入ると汚染源になってしまうので、切る範囲よりも広く毛を刈ってあります。
赤い丸で囲まれたところがおへそです(人間のおへそと違って穴はありません)。
何匹もペットを飼われてきた方でも、意外とおへそを見たことがない方が多いですね。
消毒が終わったら滅菌した布で手術で切開する場所以外を覆います。手術に使用する器具も当然滅菌済み、手術をする私たちも滅菌した術衣や手袋をはめます。(よくドラマで出てくるあの状況・あの格好です。
でもドラマみたいにカッコよくないのはモデル=私のせいか?)。
各臓器には血管がありますので、必要に応じて切る前にしっかりと処理して出血を止めます。
手術の直後はまだ少し腫れ(赤み)がありますね。この腫れは数日以内に消えるはずです。
写真のチワワちゃん(3kg)はやせ型でしたので1cmちょっとの傷(4針)でした。
手術後~抜糸までは傷口を舐めてしまわないように『エリザベスカラー』をしてもらいます。ほとんどの子が3日ほどでエリザベスカラーに慣れてくれます。
術後の管理については、お返しに時にその子の性格や体調などにあわせてアドバイスをさせていただきます。
次回は避妊手術を受ける前後の検査や通院の話です。
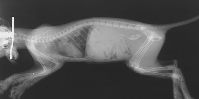
前回の横隔膜ヘルニアの手術直後のレントゲン写真です。 横隔膜のラインもばっちり、各臓器の位置もばっちりです。
ただしこの後も肺に水が溜ま ったり、ショックを起こしたりしないか充分気をつけなければいけません。
頑張れ、子猫ちゃん!!!
次の日の朝のとっても元気な子猫ちゃんです。嬉しい!!よかった!!!
術後は傷を舐めてしまわないようにエリザベスカラーというものを首の周りにつける必要があります。
でも既成品の物では一番小さなサイズのものでも体の小さなこの子には 大きすぎてブカブカ・・・・。
困っていたら、うちの看護士さんがこの子にぴったりのサイズのエリザベスカラーを手作りしてくれました。
心臓や肺の聴診をしようとしたら、ゴロゴロ喉を鳴らしてくれます。
ご飯も少しずつ食べ られるようになってゴキゲンな様子。
まだ成長過程であることや骨の変異(正しい位置から移動してしまうこと)の程度から考えて、すぐに手術を選択するのではなく、しばらく様子をみていくことになります。
大きな手術だったけど、よく頑張ったね!
◇◇◇
横隔膜の穴がしっかりとくっつくまではまだまだ油断は禁物だけど、この分なら退院もそう遠くなさそうです。
飼い主さんから“ココちゃん“という可愛いお名前も付けてもらえ ました。
本当によかったね、ココちゃん!
横隔膜ヘルニアとは?
『横隔膜ヘルニア』は横隔膜に穴があいて起こるヘルニア(※注1)です。
横隔膜は胸とお腹の境目にある膜状の筋肉で、呼吸するうえでとても重要な役割を担っ ています。
息を吸う時は横隔膜がお腹側に緩み、息を吐く時には横隔膜が胸側にピンと張 る必要があります。
このため、横隔膜ヘルニアを起こしてしまうと十分な呼吸ができなくなります。
また、横隔膜があることで胸腔(心臓や肺が入っている空間)は腹腔(胃や腸、肝臓、 すい臓など多くの臓器が入っている空間)よりも低い圧力で保たれています。
横隔膜に穴 が開くと、腹腔の臓器が低い圧力であった胸腔内に引きずり込まれてしまいます。
つまり、横隔膜ヘルニアを起こしてしまうと「横隔膜の破れた穴からお腹の中の臓器が胸 に入り込み、うまく呼吸ができない」という症状が起こります。
胸腔内に引きずり込まれた臓器の量が多ければ多いほど呼吸困難がひどくなります。
原因:
主に外傷が原因です。
最も多いのは交通事故ですが、高い所からの落下事故でも起こりま す。
これは事故の時に非常に強い力が急激にお腹に加わった場合、横隔膜が破れてしまうためです。また稀に先天的な原因(胎児の時に上手く横隔膜が作れず、穴が残ってしまう)の事もあります。
先天性横隔膜ヘルニアには心囊膜(心臓を包む膜)と横隔膜の穴が繋がって、心囊の中まで腹腔内の臓器が入り込んでしまっている心囊横隔膜ヘルニアというタイプもあ ります。
治療:
この病気は横隔膜にできた穴を手術できれいに塞ぐことで治療します。
【※注1】
ヘルニアとは「身体のなかの組織が本来あるべき場所からずれて、違う場所に入り込んでしまっている状態」を示す言葉です。
例えばよく名前を聞く『椎間板ヘルニア』は背骨を作っている一つ一つの骨(椎体) の間の『椎間板』がずれてしまっている病気です。
他にも臍ヘルニア(おへそで起こるヘルニア)、鼠径ヘルニア(お腹-腿の付け根で起こるヘルニア)、会陰ヘルニア(お尻で起こるヘルニア)などがあげられます。
以下は実際の横隔膜ヘルニアの治療のお話です
仔猫ちゃんはお家の前でうずくまっているところを飼い主さんに保護されました。
ひどく衰弱しているということですぐに病院に連れてきていただきました。
診察台の上で苦しそうにハアハアしていて、後ろ足にも力が入らない様子です。
横から撮ったレントゲン写真です。黄色のラインは本来あるべき横隔膜のラインです。
本当であればここまで肺が広がり、写 真上で黒く写ってくるはずですが、そのラインが確認できません。
また、肺のあるべき位 置まで腹腔臓器が移動してしまっているのがわかります。
伏せをした状態で撮ったレントゲン写真です。黄色の丸で囲まれた部分が入り込んだ臓器です。
お腹の中の臓器の大部分が胸に入り込ん でしまっているようです。
この写真でもやはり肺の位置まで腹腔内の臓器が入り込んでいるのが確認できます。
撮影の向きを変えることによって横隔膜の右側で横隔膜ヘルニアを起こしていることがわかります。
また、右側の骨盤に一部形の異常があり、骨盤骨折が疑われます。
◇◇◇
検査結果から手術の必要があることをお伝えすると、飼い主さんはすぐに「できることをしてあげて下さい」と言って下さいました。
この子はまだ生後2ヶ月ほどで体重も700gほどしかない小さな小さな猫ちゃんです。
横隔膜ヘルニアの手術では手術中に人工呼吸が必須ですので、まずは気管チューブが入るかどうかがカギになります。
院内にある一番小さな気管チューブを渡辺先生が入れてくれました。お見事!!!
すぐに人口呼吸を開始し、おへそから胸のところまで切開します。
腹腔内の様子は・・・・
◇◇◇
子猫ちゃんの横隔膜には大きな穴が空き、そこから肝臓・胆嚢と小腸、胃が横隔膜から胸腔側に飛び出してしまっています。
臓器を傷つけないようにそっとお腹側に戻して行くのですが、胃が引っかかってしまってなかなか戻すことができません。
そこで肋骨の一部 を切って横隔膜の穴を広げると、スムーズに戻ってきてくれました。
ここまで麻酔も順調!
実は臓器を戻すことでもリスクは一気に高まります。
入り込んだ 臓器で圧迫されていた肺が急に広がってしまうことが理由の一つ。
もう一つの理由は胸腔内に入り込んだ臓器が正しい位置に戻ることによって、悪くなっていた血液の流れが改善 してショックを起こす可能性が出てしまうこと。
子猫ちゃんの心拍、血圧などをモニター で確認してみると、嬉しいことにとても安定しています。
横隔膜に開いてしまった穴の位置を確認したところ、穴の破れ目は肋骨ギリギリにあります。
この為、横隔膜の破れ目同士を普通に縫合するのではなく、肋骨に糸をひっかけながら縫うことで強度を確保しておいたほうが良いと判断しました。
穴を縫い終わったら胸腔を陰圧に戻して臓器の位置を再度確認。問題がないことをしっかりと確認し、お腹を閉じていきます。
◇◇◇
目の内側が腫れている、という事で病院に来たなみちゃん。
第三眼瞼が裏返って飛び出 している、典型的なチェリーアイの状態です。
まずは目薬での治療を行いましたが残念な がらあまり腫れが治らなず、外科手術で治すことになりました。
チェリーアイを手術で治す場合、腫れているなら切り取ってしまえ!!という方法はなるべ く避けた方が良いとされています。
なぜなら、第三眼瞼は涙の大部分を作っている場所だ からです。
切り取ってしまうと術後にドライアイになる可能性が高まります。
そこで腫れている部分を埋め込もう!!という方法をとります。
でも気を付けなければなら ないのが「第三眼瞼は直接眼球に当たっている」という事です。
手術の時に使う器具や糸 がなみちゃんの大切な目に当たらないように注意しなくては!!
まずは麻酔下で第三眼瞼の腫れがどのくらいの範囲なのか、軟骨の変形がないかをチェ ックします。
第三眼瞼にくっついている軟骨が変形している場合はこれをケアしないと再 発リスクが高いのです。なみちゃんは軟骨は問題なし!でした。
次に腫れている部分の上下をそれぞれ切開し、腫れている部分を埋め込むように縫合し ていきます。
縫合に使う吸収糸(自然に溶ける糸=抜糸しなくていい)がなるべく目に当たらないよ う眼球とは反対側で結紮(結び目を作る)するようにします。
また、糸の太さも極力細い ものを選びます(今回の手術で使ったのは髪の毛くらいの細さの糸でした)。

縫う範囲にも注意が必要です。飛び出ている部分をしっかりと埋め込みつつ傷口の両端 は開けておくのがポイントです。
両端まで縫ってしまうと、第三眼瞼で作られた涙がうま く排泄されずにドライアイになってしまうからです。
慎重に!慎重に!
手術後は腫れの具合のチェックと目薬を何度もしなければならないのとで一晩お泊りして もらいました。
入院中の治療も嫌がらずにとてもおりこうななみちゃん。
この病気はもう 片方の目も同じ病気になってしまうことが本当に多いため、なみちゃんのこともちょっと 心配です。
今後はしばらく定期的に目の痛みや瞬きしづらい様子はないか、涙の量は充分か、縫い 込んだ部分がまた飛び出してくる様子はないかをチェックするために診察が必要です。
しばらく目をこするのは我慢しててね、なみちゃん!
第三眼瞼とは?
動物には上まぶた、下まぶたの他に目頭のところに第三眼瞼(瞬膜)というものがあります。
この膜は上下のまぶたのように水平の方向に動くのではなく、垂直の方向(=目尻 の方向に向かって)動きます。
第三眼瞼の働きは目の表面の異物から眼球を守ること、目 の表面に付いた汚れをワイパーのようにきれいにすることです。
よく「体調が悪いと出てくる」と言われていますが、健康な子でもうっとりと匂いを嗅 いだり歯石ガムを噛んでいる時や、ぐっすりと眠っている(ただし半目で、閉じているま ぶたを開けようとすると起きちゃいますから…)時などに少しだけ見えることもあります。
この様に正常で出てきているだけの場合は、起きた瞬間・我にかえった瞬間にスウッと見えない位置まで戻っていきますので、長時間出たままになっている場合は何らかの病気の可能性があると思います。

チェリーアイとは?
チェリーアイ(第三眼瞼突出)とは第三眼瞼の裏側(眼球に触れている側)が腫れて裏 返り、表に飛び出してきてしまう病気です。
原因:
この病気の原因は主に先天的な理由(第三眼瞼を固定している組織が欠損している)であるが多いため、片側だけでなく両方の目がこの病気になってしまうことがよくあります。
この病気になりやすい犬種としてはコッカ―スパニエルやビーグル、フレンチブルドック などがあげられます。
いずれの犬種でも仔犬~2才くらいまでが一番起こりやすい時期で す。
治療:
まずは抗生物質や炎症を抑える目薬で腫れをひかせることで改善を目指しますが、良くな らない場合は手術が必要です。
次回は実際のチェリーアイの治療例のお話です。












